أمجد الشريف من برلين: لا يجد 3% من البشر على المستوى العالمي، بحسب احصائية منظمة الصحة العالمية، علاجاً غير الغلوكوكورتيكيود (مثل الكورتيزون) لأمراضهم المختلفة، وذلك رغم مضاعفات هذه العقاقير الكثيرة.
وتعتبر الغلوكوكورتيكيويد من اهم الأدوية المستخدمة عالمياً ضد أمراض المناعة الذاتية مثل الربو والتهاب المفاصل والتهابات الجلد والاكزيما والتصلب المتعدد وغيرها من الأمراض. وهي نوع من الهرمونات الستيرويدية التي ترتبط بمستقبلاتها الغلوكوكورتيكويدية في الكبد وتتواجد في معظم الحيوانات الفقرية.
يتكون الاسم الإنجليزي من ثلاثة مقاطع Glucose + adrenal cortex + steroids وترمز إلى دورها في تنظيم العمليات الحيوية التي يخضع لها الغلوكوز، وعملية تصنيعها في قشرة الغدة الكظرية، وتركيبتها البنائية الستيرويدية. وهناك مرادف آخر أقل استعمالاً هو غلوكوكورتيكوستيرويد.
ان العلاج بمجموعة الغلوكوكورتيكويد يؤدي إلى اصابة المريض، بحسب جسم كل مريض، بما يسمى "سكري الستيرويد".
فهذه الهرمونات تحفز إنتاج السكر، وفي الكبد على وجه الخصوص. ويؤدي ذلك إلى بناء الغلوكوز في الكبد من مواد لا سداسية الحلقة، مثل الأحماض الأمينية والغليسرول الناتجة من تحطيم الدهون الثلاثية. فالغلوكوكورتيكويد تخل بعملية الاستقلاب ككل، وخصوصاً في استقلاب السكري في الجسم.
كشف سر سكري الستيريود
توصل العلماء الألمان من مركز أبحاث هيلمهولتز في ميونخ، بالتعاون مع علماء مركز السكري الألماني، إلى كشف سر اصابة المرضى، الذين يتلقون الكورتيزون ومجموعه، بسكري الستيرويد.
وكتبت البروفيسورة هنريتا اولينهاوت في مجلة "نيتشر كوميونيكيشن" ان فريق العمل كشف ان مسبب هذا الـتأثير السلبي في علاج الكورتيزون هو عامل النسخ إي47(E47).
فهرمونات الغلوكوكوترتيكويد تلتقي في الجسم في مستقبلاتها في خلايا الكبد، وتعمل عن طريق تنشيط جينات معينة واحباط جينات أخرى مهمة في عملية الاستقلاب.
وظهر من خلال التجارب ان عامل النسخ إي47 يخل بوظيفة جينات في الكبد تسبب اضطراب عملية تكوين الغلوكوز.
ويأمل العلماء بهذا الكشف في تخليص نحو مليون ألماني يتعالجون بالغلوكو كورتيكويد من أخطر مضاعفات هذه الهرمونات، أي سكري الستيرويد.
والمشكلة هنا هي ان التجارب أجريت حتى الآن على الفئران، إلا ان اولينهاوت وزملاءها يعتقدون بأن ما يجري في جسم البشر هو شيء مماثل لما يجري في الفئران. وهذا يعد بعلاج كورتيزني لايسبب السكري للمرضى.
وذكرت شارلوت هيمر، التي شاركت في التجارب في مختبرات مركز هيلمهولتز، لمجلة "الطبيب الألماني"، ان فريق العمل تمكن من اثبات دور عامل النسخ إي47 في نشوء سكري الستيريود وظيفيا وجينياً.
تجارب ناجحة على الفئران
أجرى الباحثون تجاربهم على فئران معدلة وراثياً، وحرصوا على أن تكون هذه المجموعة من الفئران خالية من عامل النسخ إي47. وفعلاً لم تصب هذه الفئران بسكري الستيرويد رغم علاجها لفترة طويلة بالكورتيزون.
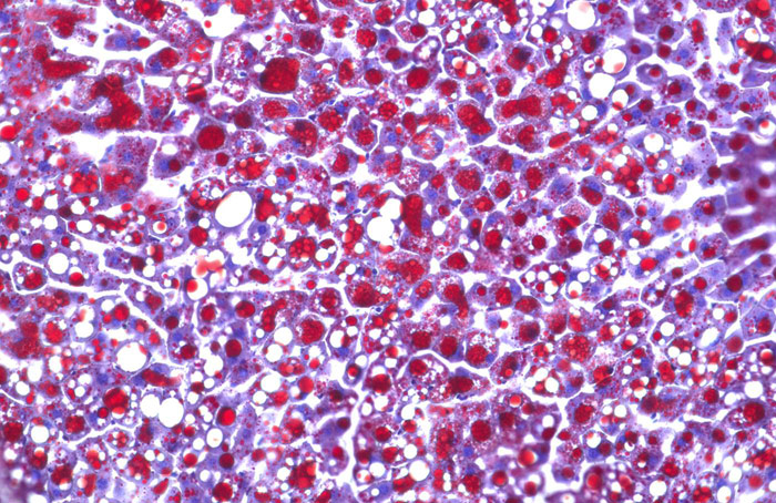
هذا في حين أصيبت فئران مجموعة المقارنة، التي عولجت بنفس الطريقة وبنفس العقار، بسكري الستيرويد. بل أنها صارت تعاني من البدانة ومن زيادة الدهون في الدم، كما اصيبت أكبادها بالتشحم.
تجري العملية في جسم البشر تاماً كما في الفئران، ومن الممكن اثبات ذلك عن طريق التجارب السريرية على البشر مستقبلاً، بحسب اولينهاوت. وحينها يمكن للطب ان يستخدم الغلوكوكونيكويد بسلامة أكثر مع المعانين من مختلف أمراض المناعة الذاتية.
مضاعفات أخرى
جدير بالذكر ان الأعراض الجابية للعلاج بالكورتيزون تعتمد على طريق تعاطي العقار وما إذا كان فموياً أو بشكل بخاخ أو مرهم...إلخ
وقد يسبب العلاج الطويل تعطل الغدة الدرقية وعدم إفرازها لهرمون الكورتيزون بشكل سليم. وقد يسبب حدوث ارتفاع واضطراب في كل من الضغط والسكر. وترقّق العظام وهشاشتها وذلك بسبب نقصان نسبة الكالسيوم المخزنة في العظام. إضافة إلى ارتفاع في ضغط العين وإصابتها بالمياه الزرقاء والبيضاء.
وقد تتأثر مناعة الجسم ومقاومتها للالتهابات. مع حدوث تغيرات نفسية ومزاجية تتمثل بتعرض المريض للعديد من المشاعر المختلفة والمضطربة وزيادة في الوزن وذلك بسبب الاضطرابات الحادثة في كل من شعوري الجوع والعطش. وزيادة كميات الدهون ونسبتها وذلك في كل من منطقة العنق والكتفين.
بالاضافة إلى ظهور حبوب كحب الشباب والبقع والبثور على الوجه والرقبة. أما بالنسبة للأطفال فهو يضعف من نموهم. ويسبب ترقّق في الجلد مما يسبب ظهور العديد من التجاعيد وبروز الشعيرات الدموية.


